肚子就是釀酒場 沒喝酒卻一直醉的美國男子

泥仔
支持

這名男子的腸胃可以自行發酵醣類製造酒精——聽起來雖然很有趣,但對苦主來說卻完全不是這麼回事。

文章插圖

一名男子在尋求醫療幫助後,總算一解身體上的謎題。

網友Ekpah

在手術之後  一切變了調

一切都是從 2011年開始的。這名 46歲的男子在一次大拇指手術後,陸續出現失憶、暈眩、反應遲鈍等狀況,也因為這樣不得不放棄自己的工作,中間他雖然看過各領域的醫生,卻還是找不到病因。

沒有喝酒  卻測出十杯酒的濃度

直到有天早上,他因為疑似酒駕被警察攔下卻拒絕接受酒測,因此被送到醫院強制血檢,當時醫護人員發現他的血液酒精濃度為 200mg/dl,相當於喝了 10杯酒,且足以造成意識不清、失去平衡感,無法正常表達言語等等。

里奇蒙大學醫療中心談起這個案例時寫道:「雖然他不斷強調自己沒有喝酒,但醫療人員和警察都不相信他。」

文章插圖

在經歷過「疑似酒駕」事件後,這名男子終於找到了自己身上的病因。

網友 Pexels

身體指數正常  除了糞便

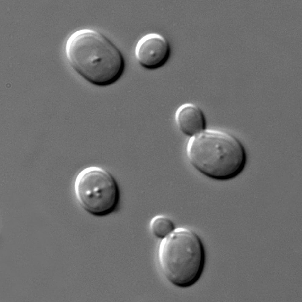
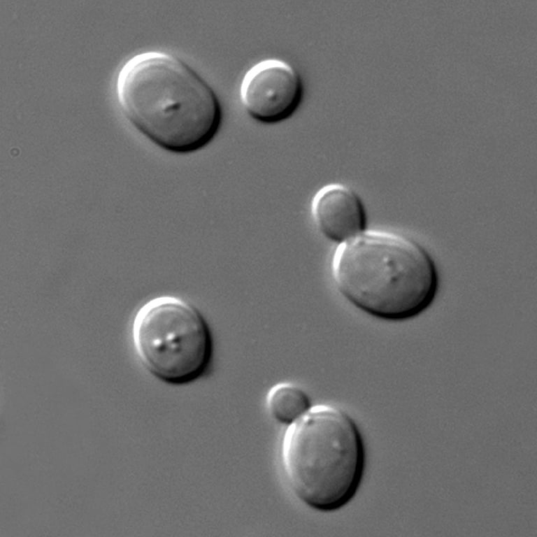
在這段經歷後,這名男子找到一家位於俄亥俄州、曾經治療過類似患者的診所,在經過一系列檢查後,院方發現他的身體指數都是正常的,但他們卻在該男子的糞便樣本中找到了釀酒酵母(Saccharomyces cerevisiae),並確認這名男子罹患了名為「自動釀酒綜合症」(Auto-brewery syndrome,也稱腸道發酵綜合症)的罕見疾病。

一吃飽就醉

「自動釀酒綜合症」是指人體的消化系統成為酵母菌發酵、產生酒精的「腹地」,讓患者光是攝取碳水化合物就可能酩酊大醉,該男子的醫生便提到「他每次在吃完飯後,基本上就會(醉到)不能動」。

文章插圖

在男子體內發現的釀酒酵母俗稱「啤酒酵母」、「麵包酵母」,它能幫助醣類發酵的特性常被用在釀酒和烘焙上。圖為顯微鏡下的釀酒酵母。

網友Masur

歷時一年半  總算回歸日常

幸好在發現病因後,這名男子也開始接受抑制真菌、促進益生菌生長的療程——這中間雖然發生過疾病復發、醫療團隊懷疑事主是否偷喝酒的過程,但在經過一年半後,這名男子已經恢復正常飲食,也擺脫了無時無刻不醉醺醺的狀態。

重建旁人的信任眼光

里奇蒙大學醫療中心則把這段經歷與治療過程刊在《BMJ胃腸病學開放取用期刊》,共同作者馬理克醫生(Dr. Fahad Malik)指出,也許對這名男子來說,最令他高興是終於能擺脫旁人懷疑的眼光。

「這麼多年來,都沒有人相信他,」馬理克說:「警察、醫生、護士,甚至是他的家人都相信他一定有偷喝酒。」

文章插圖

人體自帶釀酒廠的「自動釀酒綜合症」雖然罕見,但若是搜尋過去的報導,也會找到相關討論,以及一些「被酒駕」的案例。

網友skeeze

可能源自那場八年前的手術...

話說回來,到底是什麼原因導致會釀酒的真菌會在這名男子體內滋長呢?醫療團隊推測,這可能和他在 2011年接受的大拇指手術有關,報告寫道:「我們認為患者在接觸到抗生素後,導致他的腸道菌群發生變化,進而讓真菌過度滋生。」

接下來會繼續研究

不過有鑑於「自動釀酒綜合症」的罕見度,報告坦言他們做的研究可能還不夠多,因此接下來會研究更多疑似患有「自動釀酒綜合症」的案例,也希望這次發現的治療方法可以用在其他患者身上。

文章插圖

地球圖輯隊

我們為您在DQ飛行船預留了VIP位子,期待您登船贊助DQ

延伸閱讀

收起全部

參考資料

展開更多