揭開頭痛的秘密:止痛藥不是唯一解

阿雀
支持
本文經授權轉載自友站科技大觀園文/ 簡鈺璇 | 科技大觀園特約編輯 

頭痛讓每個人都頭痛!根據WHO統計,頭痛是神經科最常見的疾病,相較於所有疾病,每年頭痛造成的失能人數是世界第二。然而,我們對頭痛的理解並不夠透徹,很多人甚至覺得吃止痛藥就好,頭痛不是什麼病。

文章插圖

根據WHO統計,頭痛是神經科最常見的疾病,但人們往往不把它當病,覺得吃止痛藥就好。

網友Usman Yousaf

「頭痛是病,而且它有一定的病生理機轉機制,吃止痛藥對頻繁頭痛者來說,並不是最好的方式。」臺北榮民總醫院神經內科醫師、臨床醫學研究所教授陳世彬說。

17年前陳世彬就加入榮陽頭痛研究團隊,致力解開頭痛之謎,是國際知名的腦神經研究專家,研究成果傑出,榮獲108年度科技部「吳大猷先生紀念獎」。

文章插圖

陳世彬教授長期致力於雷擊頭痛(RCVS)與偏頭痛的研究。(圖/沈佩泠繪)

合作夥伴

他主要研究最痛和最難纏的兩款頭痛——RCVS(Reversible cerebral vasoconstriction syndrome,可逆性腦血管收縮症候群)及migraine(偏頭痛)。RCVS是最嚴重也最危險的頭痛類型,若太晚發現,有相當高的機會會產生中風(缺血性腦梗塞或腦出血);偏頭痛則是造成全世界最多人失能的神經科疾病。

然而,腦神經運作相當複雜,每個人對藥物的反應不同,因此陳世彬的角色除了看診、開藥外,還得投入研究,解開頭痛之謎,才能對症治療。

文章插圖

陳世彬是國際知名的腦神經研究專家,研究成果傑出,榮獲108年度科技部「吳大猷先生紀念獎」。(圖/陳世彬提供)

合作夥伴

全台第一個發現雷擊頭痛RCVS的病徵

RCVS引發的疼痛是頭痛之王,患者在發病期間會產生瞬間爆炸般的頭痛,又稱為雷擊頭痛。陳世彬說:「這個痛是會痛到在地上打滾、尖叫和求救的可怕的頭痛。」

這類的頭痛通常伴隨排便、性行為、洗澡或情緒激動等動作而誘發,對病患生活造成極大的困擾,常有患者怕到不敢洗澡、不敢上大號,北榮的頭痛門診中有1-2%病患屬於此類。

但在2007年以前,全世界對這個疾病是很陌生的,僅有北榮、美國和法國三個研究團隊關注它,RCVS的名稱也是當時的專家共識決定的。陳世彬表示,會開啟這一系列研究,主要原因是一開始遇到一個病人頭疼到沒有藥可以解決,接著產生視覺皮質區中風而失明,團隊才開始針對這個謎一般的病進行研究。

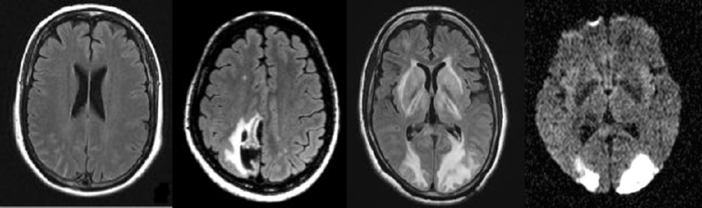
團隊發現RCVS患者的腦血管攝影中,可以看見血管一節節收縮的痕跡,收縮的狀況由小血管慢慢移到中央血管區,因此剛開始檢查時很難看見。RCVS會引起嚴重的併發症,例如可逆性腦後方白質病變或腦水腫達9-38%、缺血性腦梗塞達4-54%,以及腦出血可能高達20%,必須及早診斷。

文章插圖

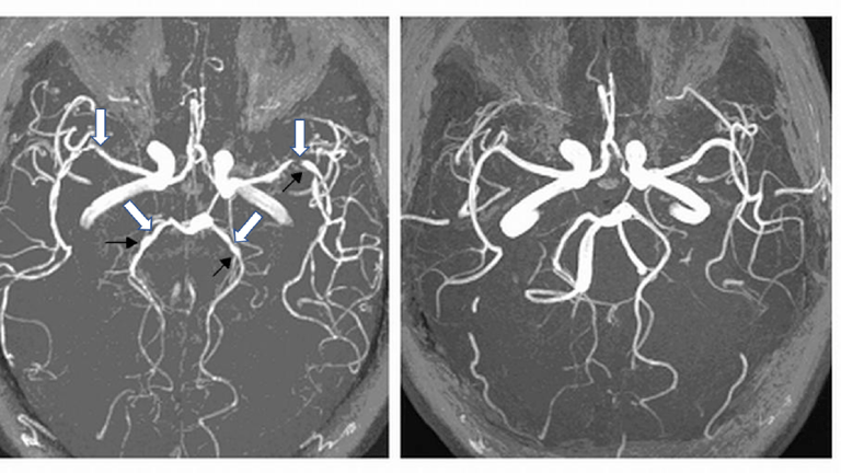
左側是腦部血管收縮的圖,白色箭頭是血管收縮處,黑色箭頭指的是收縮後面有時伴隨血管擴張,因此血管看起來像念珠狀一節一節,右側則是恢復成正常的樣子。(圖/陳世彬提供)

合作夥伴

榮陽頭痛研究團隊是全台第一個釐清RCVS臨床表現、建立檢查與治療標準流程、找出併發症的團隊,並開發新影像技術協助診治和探討病生理機轉,在RCVS領域中的研究成果可說是世界第一。

至於血管為何會收縮呢?陳世彬坦言,目前掌握的RCVS病生理機制不算全面,不過全世界目前只有榮陽頭痛研究團隊有針對此病病生理機轉進行研究並發表論文,現在知道病患的交感神經容易過度活化,且產生過度的氧化壓力,因而導致血管收縮,這些現象跟病患帶有某些基因有關。此外,血液中內皮前驅細胞數量少、修復大腦血管功能較弱者,也是RCVS的好發患者。

近期團隊透過全基因體關聯性研究,也有新的發現。陳世彬表示,RCVS患者的基因位點分佈與其他人差異很大,而這些基因也跟血腦障壁破壞、中風、腦出血等腦血管疾病有關。

文章插圖

左一為正常大腦,由左至右為腦出血、腦中風及腦水腫的樣子。(圖/陳世彬提供)

合作夥伴

「也就是說控制RCVS的並不是單基因遺傳,而是很多基因都貢獻一部分,如果你的基因位點(染色體上基因所在位置)都很不好,就很像拿到一手壞牌,容易有這些病症。」陳世彬說。

目前RCVS的治療方式會採用腦血管專一性的「鈣離子阻斷劑」,它是一種血管擴張的藥物。陳世彬提到,有趣的是它可以馬上緩解頭痛,但無法立刻改善血管收縮的情況,病患頭痛消失的時候,反而是血管收縮最嚴重的時候,也因此需要持續服藥到血管恢復為止,目前沒有人知道為什麼,也沒有人清楚為何洗澡會引發RCVS。

這個疾病還有許多謎,等待研究團隊努力解開呢!

大腦沒有痛覺,那偏頭痛怎麼來?

相較於RCVS痛到痛不欲生,偏頭痛則是受大眾忽略的疾病。

陳世彬表示,偏頭痛是病,但有時卻會被誤以為是單純的感冒或經期症候群。他在臨床就看到好多病患苦於頭痛,一個月痛超過15天以上,到處打針、吃藥,吃到肝腎胃都壞掉,頭痛還是好不了。根據北榮資料統計,目前嚴重的慢性偏頭痛患者大約有1.7%,比例相當高。

陳世彬提醒,偏頭痛並不一定是單一邊的頭痛,它可以是痛在雙側或頭頂,有時是連肩頸或整個頭都會痛,發病時的症狀還有噁心、嘔吐、畏光和怕吵的症狀,有些人在發作前還會出現視覺預兆,眼前會出現閃光或盲點,而看不到前方的狀況。

文章插圖

視覺預兆者眼前會呈現模糊看不到前方的景象。(圖/陳世彬提供)

合作夥伴

偏頭痛的病生理機轉也相當複雜,最重要的假說是「三叉神經血管理論 」(Trigeminovascular theory)。陳世彬解釋,大腦本身沒有痛覺神經,腦膜才有痛覺神經,頭痛就是來自腦膜周圍的三叉神經末梢纖維,當這些神經纖維被活化後,會造成局部的神經性發炎,使得疼痛神經的末梢被更進一步活化,訊號傳到大腦中樞後,讓我們有疼痛的感覺。

文章插圖

偏頭痛的原因之一就是來自腦膜周圍的三叉神經末梢纖維被活化而帶起的連鎖反應。(圖/陳世彬提供)

合作夥伴

為何有人的三叉神經比較容易被活化呢?陳世彬表示,基因是影響偏頭痛的原因之一,父母有偏頭痛狀況,孩子也容易是偏頭痛患者。近年歐美國家大規模研究全基因體關聯性,已經找到44個跟偏頭痛有關的基因位點,而北榮的研究團隊則找到4個位點,其中兩個跟歐美發現的位點一致,另外兩個則是台灣人獨有的。

陳世彬表示,有個偏頭痛的基因位點「TRPM8」是全世界共通的,它掌管離子通道,且與冷的刺激所造成的疼痛有關,這說明天氣變化或溫度改變,如大熱天突然進到冷氣房,確實跟頭痛有關聯性。因此未來或許可以針對此離子通道設計藥物,達到事前預防的效果。

陳世彬認為,針對偏頭痛嚴重的病患,將來的目標是可以透過篩檢看哪些基因造成頭痛,然後對症預防、調整體質,減少頭痛發生的頻率,而不只是吃止痛藥來治標。

後記:醫師最幸福

即使研究卓越,陳世彬還是最喜歡當醫師,「做了很多研究不一定有結果,但把病人治好是有成就感的,所以我更喜歡臨床。」

他印象很深刻,剛升主治醫師不久,就收到一位年輕患者不明原因昏迷插管已快一兩個月,但她的CT、MRI都是正常的,這時科主任剛巧出國,就交給他處理。當時大家都找不出原因,他覺得病患的病程,跟之前國際神經學會時,美國研究團隊報告的一個案例很像。

「當時台北榮總沒有人診斷過這個病,我決定寫信去美國,請當初發現這個病的醫生幫忙驗患者的抗體,然後把患者血液寄到美國,後來證實是抗NMDA受體腦炎,一種免疫疾病(註: 此病曾被寫成小說並拍成電影《我發瘋的那段日子 Brain on fire》)。陳世彬表示,當時緊急做血漿交換,才做到一半患者就清醒了一小時,然後又持續昏迷,後來經過一段時間治療後,這位病患是與家人開心走著離開醫院。

這件事讓他非常歡欣鼓舞,更下定決心要好好做研究,嘉惠病人。儘管「研究的困難多到不知從何說起」,但他坦言突破困難後,收穫相當大。而且要不是讀博士時被教授指派做動物實驗,他也不會多了一項研究利器,能夠做流行病學以外的研究。

文章插圖

陳世彬曾至哈佛神經血管研究室進修,他笑說自己每天走五公里上下班,因此曬得很黑。(圖/陳世彬提供)

合作夥伴

陳世彬笑著說,神經科學本就是奠定在科學家無數的錯誤、突破困難之上。以往神經科學被笑說是「 know everything, do nothing 」,但在科學家的努力下,許多退化性疾病如失智症、帕金森氏症或一些罕見疾病如漸凍人、多發性硬化症等,都有一些新的治療發明,相信在可見的未來都不再是絕症了。想到這,陳世彬就覺得一切努力都是值得的。

科技大觀園

科技大觀園

為妥善保存多年來科普活動產出的成果,並使一般大眾能透過網路分享科普資源,科技部於2007年建置「科技大觀園」科普網站,累積大量的科普影音、文章、演講及活動訊息,期使科學能扎根於每個人的生活與文化中。

延伸閱讀

收起全部