沒辦法專心?問題可能出在大腦身上
現在的世界充滿手機、email、app提醒還有許多讓人分心的東西,想要專注在手上在做的事情越來越難,保持專注常似乎要用掉大量腦力,如果你在做的事情特別無聊更是需要耗掉許多腦力,讓人不禁擔心自己是不是有注意力不足的問題。不過別擔心,現在有個新研究指出科學家可以藉由觀察大腦,來預測一個人是不是有注意力不足的問題,甚至還能進一步找出罹患過動症的人。
網路、簡訊、app提醒讓人分心,想長時間保持專注似乎變成一件困難的事。
找出過動兒
NPR、《科學》、《科學人》綜合報導,觀察一個人大腦各區域的連結情況,有很大機率可以成功判斷出這個人是不是有注意力不足的問題,或者是否有得過動症(ADHD,全名注意力不足過動症)。
由美國耶魯大學研究員帶領的研究團隊表示,他們可以靠著研究大腦特定區域的連結,判斷出大部分孩童與青少年有沒有得過動症。不過,目前這個判斷法還不能作為診斷用的工具。
這項研究刊登在《自然神經科學》期刊(Nature Neuroscience)上,第一作者是美國耶魯大學的認知神經科學家羅森堡(Monica Rosenberg)。
美國甘迺迪克里格研究所神經心理學系的系主任馬翁(Mark Mahone)認為,羅森堡的研究提供了一個新證據,證明過動症並不是單純的行為問題,而是一種大腦病變,他表示:「現在有多種測量方法可以指出(有過動症的人)大腦長得跟別人不一樣。」
找出過動兒
NPR、《科學》、《科學人》綜合報導,觀察一個人大腦各區域的連結情況,有很大機率可以成功判斷出這個人是不是有注意力不足的問題,或者是否有得過動症(ADHD,全名注意力不足過動症)。
由美國耶魯大學研究員帶領的研究團隊表示,他們可以靠著研究大腦特定區域的連結,判斷出大部分孩童與青少年有沒有得過動症。不過,目前這個判斷法還不能作為診斷用的工具。
這項研究刊登在《自然神經科學》期刊(Nature Neuroscience)上,第一作者是美國耶魯大學的認知神經科學家羅森堡(Monica Rosenberg)。
美國甘迺迪克里格研究所神經心理學系的系主任馬翁(Mark Mahone)認為,羅森堡的研究提供了一個新證據,證明過動症並不是單純的行為問題,而是一種大腦病變,他表示:「現在有多種測量方法可以指出(有過動症的人)大腦長得跟別人不一樣。」
有ADHD的人,注意力不容易集中。圖為正在寫作業的小朋友。
「腦指紋」獨一無二
大腦的連結,指的是大腦活動時腦的各個活動部位所形成的連結。羅森堡表示,過去的研究發現每個人的大腦連結圖形都不一樣,就像「腦指紋」一樣獨一無二。
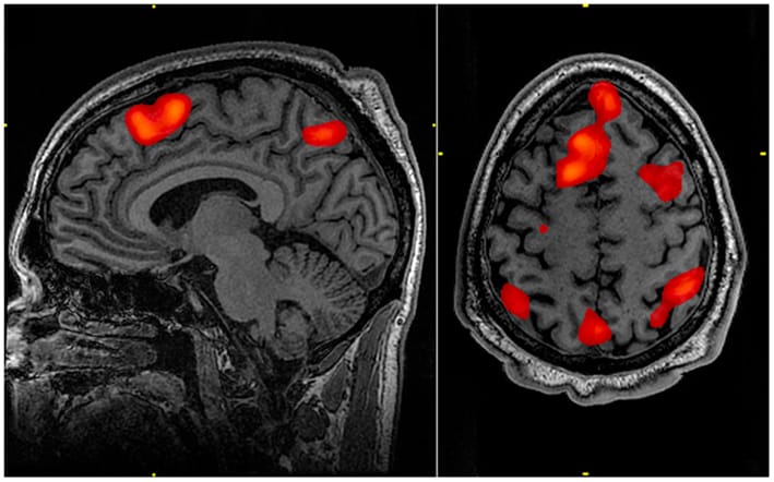
羅森堡的團隊想要找出「腦指紋」跟注意力之間的關係,因此,他們使用功能性磁振造影(註1,fMRI,全稱為functional magnetic resonance imaging)觀察 25個人在做無聊乏味的事情時,他們的大腦有什麼樣的活動。這 25個人要看著螢幕秀出一張張黑白圖片,並在看到城市的圖片時按下按鈕。
羅森堡說:「這個活動做一下就會覺得非常無聊」、「所以很難長時間保持專注。」
在測驗時,研究團隊用fMRI記錄了參加者大腦的各個區域是怎麼連結成一個特定的圖形。藉由這些fMRI圖形,他們就能夠預測一個人的專注能力。
羅森堡也指出,這些特定圖形在一個人沒有專注的時候也會出現,他說:「我們可以在他們休息的時候尋找這些特徵,而且一樣可以靠得到的圖形來預測專注力。」
註1:根據《維基百科》,功能性磁振造影是一種新興的神經影像學方式,其原理是利用磁振造影來測量神經元活動所引發之血液動力的改變。
「腦指紋」獨一無二
大腦的連結,指的是大腦活動時腦的各個活動部位所形成的連結。羅森堡表示,過去的研究發現每個人的大腦連結圖形都不一樣,就像「腦指紋」一樣獨一無二。
羅森堡的團隊想要找出「腦指紋」跟注意力之間的關係,因此,他們使用功能性磁振造影(註1,fMRI,全稱為functional magnetic resonance imaging)觀察 25個人在做無聊乏味的事情時,他們的大腦有什麼樣的活動。這 25個人要看著螢幕秀出一張張黑白圖片,並在看到城市的圖片時按下按鈕。
羅森堡說:「這個活動做一下就會覺得非常無聊」、「所以很難長時間保持專注。」
在測驗時,研究團隊用fMRI記錄了參加者大腦的各個區域是怎麼連結成一個特定的圖形。藉由這些fMRI圖形,他們就能夠預測一個人的專注能力。
羅森堡也指出,這些特定圖形在一個人沒有專注的時候也會出現,他說:「我們可以在他們休息的時候尋找這些特徵,而且一樣可以靠得到的圖形來預測專注力。」
註1:根據《維基百科》,功能性磁振造影是一種新興的神經影像學方式,其原理是利用磁振造影來測量神經元活動所引發之血液動力的改變。
羅森堡團隊用fMRI觀察 25個人的大腦活動狀態。圖為Wikicommons提供的fMRI圖片。
成功預測過動症
研究團隊想要進一步了解,這些像「大腦指紋」一樣的特徵圖形是不是可以用來評估年輕人的專注力,甚至是找出患有過動症的人,所以他們調出過去的數據來實際測試。在過去的一個研究裡,曾經有中國科學家掃描 113名小孩與青少年的大腦並留下資料,這 113名孩子也都曾經被評估過是否有得過動症。
羅森堡團隊運用當時留下來的資訊,試著預測孩子們的專注力,結果讓他們相當吃驚,羅森堡說:「我們找到的結果相當令人驚訝,而且非常有意思。」
「當我們預測某個孩子在做黑白圖片測試的時候,會做得很好,我們接著就會發現他在過動症的測試上得到比較低的分數;預測某個孩子做不好圖片測試時,他們在過動症測試上得分就會比較高,而這也就表示他們有比較嚴重的注意力不足問題。」
研究團隊可以預測出這 113名孩子大部分人的專注力,而且除了可以預測出過動症,還可以預測過動的問題有多嚴重。
成功預測過動症
研究團隊想要進一步了解,這些像「大腦指紋」一樣的特徵圖形是不是可以用來評估年輕人的專注力,甚至是找出患有過動症的人,所以他們調出過去的數據來實際測試。在過去的一個研究裡,曾經有中國科學家掃描 113名小孩與青少年的大腦並留下資料,這 113名孩子也都曾經被評估過是否有得過動症。
羅森堡團隊運用當時留下來的資訊,試著預測孩子們的專注力,結果讓他們相當吃驚,羅森堡說:「我們找到的結果相當令人驚訝,而且非常有意思。」
「當我們預測某個孩子在做黑白圖片測試的時候,會做得很好,我們接著就會發現他在過動症的測試上得到比較低的分數;預測某個孩子做不好圖片測試時,他們在過動症測試上得分就會比較高,而這也就表示他們有比較嚴重的注意力不足問題。」
研究團隊可以預測出這 113名孩子大部分人的專注力,而且除了可以預測出過動症,還可以預測過動的問題有多嚴重。
藉由觀察一個人的腦指紋,羅森堡團隊可以找出大部分有注意力問題的人。
預測法還不完美
羅森堡表示,這個預測法目前還不是很完美,但仍可以提供相當有用的資訊,他也認為,預測法最後也許可以幫助心理學家、精神病學家來評估孩子是不是有注意力問題。
不過,馬翁也指出這個預測法有個潛在的問題,因為注意力不足的問題不是只有過動症的人才會有,擁有焦慮、沮喪、學習障礙和自閉症(autism)的人同樣也會有注意力不足的問題。儘管有潛在問題,馬翁仍表示:「了解大腦在得不同病的時候是什麼樣子,我們就可以找到方法來讓大腦『變正常』。」
編註:對原文報導有興趣的朋友請參考
01 A Peek At Brain Connections May Reveal Attention Deficits
02 Having trouble concentrating? This brain network may be to blame
03 Pay Attention! New "Brain Fingerprints" Predict Your Ability to Focus
延伸閱讀:《虛擬實境練走路 美男用腦力喚回癱瘓五年下半身》
《美科學家成功培養出人類大腦》
《腦內革命 悲傷回憶變快樂》
預測法還不完美
羅森堡表示,這個預測法目前還不是很完美,但仍可以提供相當有用的資訊,他也認為,預測法最後也許可以幫助心理學家、精神病學家來評估孩子是不是有注意力問題。
不過,馬翁也指出這個預測法有個潛在的問題,因為注意力不足的問題不是只有過動症的人才會有,擁有焦慮、沮喪、學習障礙和自閉症(autism)的人同樣也會有注意力不足的問題。儘管有潛在問題,馬翁仍表示:「了解大腦在得不同病的時候是什麼樣子,我們就可以找到方法來讓大腦『變正常』。」
編註:對原文報導有興趣的朋友請參考
01 A Peek At Brain Connections May Reveal Attention Deficits
02 Having trouble concentrating? This brain network may be to blame
03 Pay Attention! New "Brain Fingerprints" Predict Your Ability to Focus
延伸閱讀:《虛擬實境練走路 美男用腦力喚回癱瘓五年下半身》
《美科學家成功培養出人類大腦》
《腦內革命 悲傷回憶變快樂》
延伸閱讀
收起全部