最新研究顯示:宗教信仰能激發腦部獎勵機制讓人不可自拔

徽徽
支持
本文經授權轉載自友站科技新報文/ Amy Lin 

宗教信仰對於人類來說是相當大的精神支柱,舉凡是基督教、天主教、伊斯蘭教、佛教等宗教在世界各地都有許多人信仰,也令人好奇究竟宗教在精神上帶給了信徒什麼樣的力量。不過,就科學的角度來看,來自美國猶他大學的研究團隊在近期發現,原來宗教信仰能激發人體腦部的獎勵機制,為當事人帶來「幸福感」。

文章插圖

一名女性正在教堂內祈禱。美國猶他大學研究團隊發現,宗教能激勵人類腦部的獎勵機制,為當事人帶來「幸福感」。

路透社

猶他大學研究團隊邀請了 19 名虔誠的摩門教教徒進行實驗,並在過程中利用功能性磁振造影(fMRI)進行腦部活動偵測。實驗中,研究團隊讓他們觀看或聆聽由耶穌基督後期聖徒教會(LDS Church)所推出的經文、圖像或布道影像,藉由此過程讓他們的腦部接收到與宗教有關的訊息。

而在此過程中,研究團隊發現,宗教信仰能夠讓參與者腦部的伏隔核(nucleus accumben)產生可再生的刺激,而其中伏隔核就是能讓人類感受到獎賞、快樂、笑、成癮、侵犯、恐懼以及安慰劑等效果的大腦部位。此外,他們也發現大腦中掌控專心程度、新奇與重要事情理解力的部位也會在此過程中受到刺激。

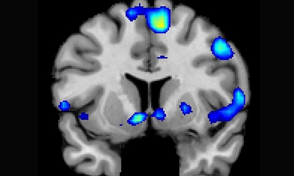
文章插圖

圖為實驗中受試者的大腦功能性磁振造影圖像,研究人員發現受試者在接觸到宗教信仰時,腦部掌管獎賞和成癮的部位會有反應。

合作夥伴

不過研究團隊成員之一的 Jeffrey S. Anderson 也表示,此研究也發現宗教信仰與大腦的獎勵機制之間的關係有可能是一種古典制約。簡單來說,古典制約就是讓狗看到飯碗就會流口水的實驗,也間接地解釋了為什麼宗教信仰會讓人這麼的不可自拔,而就算是來自不同宗教信仰的人,其大腦在接收宗教訊息的時候,所受到的刺激也都是差不多的。

有趣的是,Anderson 也提到,宗教信仰與欣賞音樂、感受父母與情人的愛、賭博等有著同樣的刺激,讓人在不知不覺中都會上了癮。研究團隊也小心翼翼地解釋,宗教信仰對每個人帶來的感受不盡相同,而他們接下來也會繼續鑽研,了解到底是什麼樣的系統操縱著宗教帶給我們的古典制約。

科技新報

科技新報

科技新報是一群對資訊科技、能源、半導體、行動運算、網際網路、醫療、生物科技有高度熱忱與興趣的產業與新媒體人士,共同組成的時代新媒體,以產出有觀點與特色的原創文章為主要任務。

延伸閱讀

收起全部

參考資料

展開更多